Everton Park  07 3355 1422
Mitchelton  07 3354 3341

Everton Park (538 South Pine Road) 07 3355 1422  |  Mitchelton (Suite 1/17 Blackwood Street) 07 3354 3341

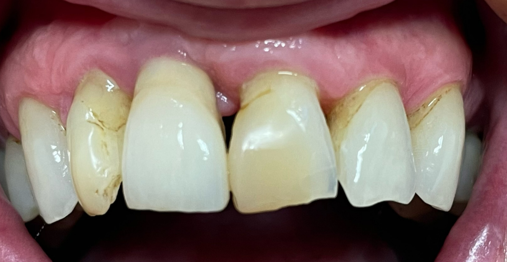
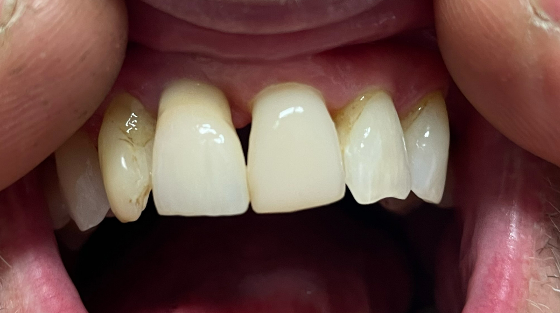
Composite veneers are used to improve the colour, shape and size of teeth.

They are non destructive to the teeth and treatment is performed in a single visit with no injections providing you with an immediate lift to your smile.

About Us

+ Regular patients/year
Years established
Google reviews
Star ratings

Are Composite Veneers for you?

The cosmetic dentists at Swish Dental will assess your needs and whether you are suitable. Generally if you have healthy gums and healthy teeth dental veneers are suitable for patients of all ages. Before having composite veneers you may want to whiten your teeth so that the veneers can be matched to the whitened teeth.

Are Composite Veneers for you?

Composite Veneers Before & After

Choose the veneer colour

Choose the veneer colour

Composite veneer consultations are $89 for 1-3 teeth and $199 for 4 or more teeth.  At your consultation which will last around 20-30minutes your dentist will place a few different coloured veneers on your teeth so you can see a realistic version of what they look like. Once the colour has been chosen the procedure can be started.

The composite veneer is placed

The composite veneer is placed

The dentist will clean the surfaces of your teeth and apply the dental veneer onto the tooth. Once shaped our advanced technology will set the veneer in seconds so it is stuck to the tooth. The composite veneer is then polished.

Enjoy your smile

Enjoy your smile

Your composite dental veneer is 100% set so you can eat and drink straight away. We recommend not eating or drinking anything that can stain your teeth for the rest of the day.

 
Book your consultation today

Everton Park Dental Practice

Everton Park

Call Everton Park on (07) 3355 1422

Mitchelton Dental Practice

Mitchelton

Call Mitchelton on (07) 3354 3341

What are the benefits?

They are non destructive (no tooth structure need to be removed), no injections are needed (pain-free!) and they are done in a single visit.

How long do they last?

Studies show the average lifetime to be 5-10 years depending on how well they are looked after. They can last longer but due to wear and tear they may need to be changed to match.

How do I look after them?

Regular brushing, flossing in between the teeth and annual polishing by the dentist to buffer the material is the best way to keep your new veneers shiny and well maintained.

What do Composite Veneers Cost?

Item number Procedure Cost From
526 Veneer front tooth $500
536 Veneer posterior tooth $500

Call Swish Dental for a consultation now

 
Book Online