Everton Park  07 3355 1422
Mitchelton  07 3354 3341

Everton Park (538 South Pine Road) 07 3355 1422  |  Mitchelton (Suite 1/17 Blackwood Street) 07 3354 3341

As we get older, our teeth may wear down naturally. But excessive tooth wear can cause your teeth to feel painful or sensitive or even crack, as well affecting your appearance.

When you visit Swish Dental for your regular check-up, we'll examine your teeth and may recommend a tooth erosion treatment if we think it could help. The dentists in Everton Park and Mitchelton will give you all the information you need about this treatment so you can decide if it's the right decision for you. Dr Nik is an expert at building worn teeth and can rebuild your worn teeth in a single session giving you an immediate improvement in your smile.

Make an appointment at your nearest Swish Dental clinic to discuss your options for tooth wear in Brisbane today.

About Us

+ Regular patients/year
Years established
Google reviews
Star ratings

Why is tooth erosion a problem?

If the hard enamel surface of your teeth wears down, this can cause them to become more sensitive to pressure and temperature when you eat and drink. Worn teeth may affect your ability to eat and speak normally and are also more vulnerable to decay, infections, chips and cracks.

Tooth wear can also cause your teeth to shorten drastically if untreated, so they may not show when you smile. Another effect of tooth erosion is that your jaws may move closer together, which can alter the shape of your face and cause a premature aged appearance.

What causes tooth wear?

Some level of tooth erosion occurs naturally with age, but it can be made worse when the teeth are exposed to acids. This may be more common than you realise.

Citrus fruits, vinegar, fizzy drinks, fruit juice, wine and many other foods and drinks contain acids that get left behind on your teeth. Teeth can also be exposed to acids through vomiting or reflux (heartburn and indigestion).

Tooth can also be worn down if you brush too hard and scrape away the enamel, or if you grind or clench your teeth.

The dentists in Everton Park and Mitchelton will try to find the root cause of your tooth wear so we can recommend suitable treatment and prevention. We can also help you to restore worn teeth necks.

What does tooth erosion treatment involve?

When you make an appointment with the dentists, they'll explain what tooth wear treatment involves and answer any questions you have along the way. There are typically 4 steps to the treatment:

Your consultation

During your consultation with our dentists, we'll ask you questions to help us understand what the cause of your tooth wear might be and what your goals are. We'll then carry our a thorough examination of your teeth, which may involve x-rays, and develop your personal treatment plan.

Restore the enamel

When you're happy with your trial smile, we'll restore your teeth enamel using a composite resin that's been customised to match to your natural tooth shade or a different shade of your choice.

Protect your teeth

We'll then take impressions of the teeth to send to our expert dental technicians who will create a protective splint to help preserve your new smile.

Follow-up

We'll arrange a follow-up appointment after 6 months to check that you're happy with the appearance and feel of your new smile. We can also clean and polish your restored teeth to help them look as good as possible, and discuss any other treatments you may be considering, such as veneers.

 
Book your consultation today

Everton Park Dental Practice

Everton Park

Call Everton Park on (07) 3355 1422

Mitchelton Dental Practice

Mitchelton

Call Mitchelton on (07) 3354 3341

How can I prevent tooth erosion?

If we think your lifestyle may be causing your tooth wear, we may recommend that you cut down on acidic food and drink or talk to your doctor about any problems related to acid reflux or vomiting.

If you grind or clench your teeth, we may discuss preventive treatments such as a dental splint to wear at night time.

What are the risks?

Your teeth should feel stronger and not be sensitive after tooth erosion treatment. You should avoid biting down on hard or crunchy foods with any front teeth that have been rebuilt to get the maximum lifespan. Your rebuilt teeth should be as strong as natural tooth enamel, but they can still stain or damage just as easily.

What are dental implants?

How much does tooth erosion treatment cost?

The cost of this treatment varies depending on how severely your teeth are worn and how many teeth need to be treated. We can give you a quote after we examine your teeth and discuss insurance and payment options at your consultation.

Costs for dealing with Tooth Wear in Brisbane

Item number Procedure Cost From
525 Anterior tooth coloured filling -5 surfaces $255
535 Posterior tooth coloured filling -5 surfaces $266

Worn Teeth Necks

At Swish Dental we use the latest technology to rebuild any worn areas of your teeth. Once teeth are worn down the damage is irreversible. When we see worn areas we recommend protecting them with tooth coloured filling material to prevent further wear to the natural teeth.

Why rebuild worn areas?

Why rebuild worn areas?

The dentists always recommend rebuilding worn areas where possible to prevent further damage to the teeth which can expose the nerves in the teeth and cause sensitivity. It is best to rebuild any worn down areas so that when the teeth are being used the fillings wear down and not the natural tooth structure.

What's involved?

Depending on how much tooth is worn down you may need to have a bit of local anaesthetic. In 95% of cases you do not as we catch the problem early. Tooth coloured filling material is then placed on the worn areas and shaped.

How long will they last?

It all depends how hard you are brushing and the strength of your teeth. In most cases they should last at least a few years but sometimes they can come off quicker from hard brushing forces or from the material not bonding to the teeth due to the tooths individual properties. If the fillings come off we try placing another material.

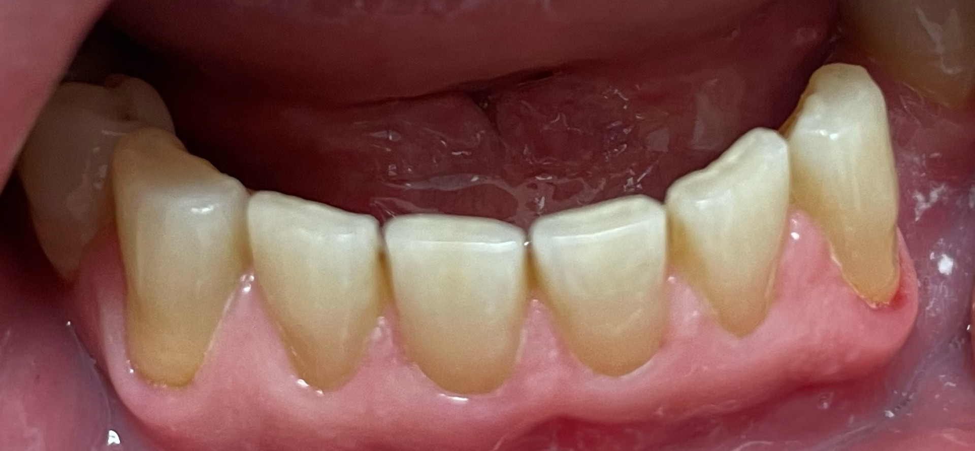
Receding gums and worn down teeth (Case 1)


Receding gums and worn down teeth (Case 2)


Talk to the dentists in Brisbane

For more information about tooth erosion treatments, make an appointment at your nearest Swish Dental clinic.

 
Book Online