Everton Park  07 3355 1422
Mitchelton  07 3354 3341

Everton Park (538 South Pine Road) 07 3355 1422  |  Mitchelton (Suite 1/17 Blackwood Street) 07 3354 3341

Smarter, More Accurate Dental Care with AI at Swish Dental

At Swish Dental, we’re proud to lead the way in modern dentistry — combining compassionate care with cutting-edge innovation. In early 2024, Swish Dental became the first dental group in Australia to implement Dental Pearl, an FDA-approved Artificial Intelligence (AI) system that enhances diagnostic accuracy and patient confidence.

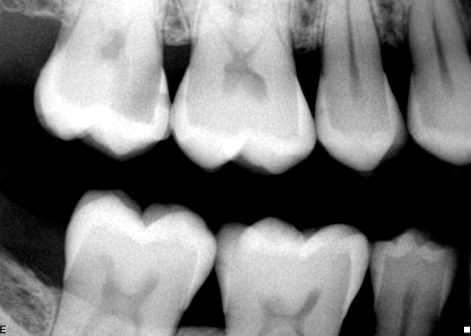
What Is Dental Pearl?

Dental Pearl is an advanced AI-powered dental imaging platform that analyses your dental X-rays in real time. Trained on millions of clinically validated images, it identifies areas of concern — such as tooth decay, bone loss, infections, and early signs of gum disease — with exceptional precision.

Think of it as a second expert opinion, supporting your dentist in detecting potential issues earlier and ensuring no small detail goes unnoticed.

About Us

+ Regular patients/year
Years established
Google reviews
Star ratings

How AI Enhances Your Dental Experience

1. More Accurate Diagnoses
AI highlights areas that may require attention, reducing the risk of missed findings and helping your dentist deliver the most accurate, evidence-based diagnosis possible.

2. Clear, Visual Explanations
With Dental Pearl, you can see exactly what your dentist sees. The AI visually highlights findings on your X-rays, helping you understand your oral health and treatment options with complete transparency.

3. Early Detection & Preventive Care
By catching early signs of decay or bone changes, AI allows us to intervene sooner — saving you from more complex and costly treatments later on.

4. No Additional Charges
At Swish Dental, this advanced technology comes at no extra cost to you. We believe better diagnostics and greater confidence should be part of every patient experience, not an optional upgrade.

5. FDA Approved for Accuracy and Safety
Dental Pearl is FDA-approved, meaning it meets strict international standards for clinical accuracy, patient safety, and data security.

Why Swish Dental Uses AI Technology

We’re committed to offering our patients the most accurate, transparent, and comfortable dental care possible. Our integration of Dental Pearl reflects that commitment — ensuring every patient benefits from:

  • Enhanced diagnostic confidence
  • Earlier and more effective treatment
  • A clear understanding of their oral health

Technology like Dental Pearl doesn’t replace our dentists — it empowers them to deliver even better care.

Cleaning and fluoride treatment

Experience the Future of Dentistry Today

Discover how AI-assisted dental care can make your next visit smarter, safer, and more reassuring. Swish Dental is proud to pioneer this transformative technology — giving our patients more accuracy, more confidence, and the best possible outcomes.

Book your appointment today and experience the future of dental care, available now at Swish Dental.

 

Book your consultation today

Everton Park

Call Everton Park on (07) 3355 1422

Mitchelton

Call Mitchelton on (07) 3354 3341

 
Book Online